El proceso mediante el cual se forma el hueso se denomina osificación. En el embrión, existe un precursor del esqueleto formado por tejido cartilaginoso hialino y mesénquina embrionario que ya tiene una forma característica a partir de las seis semanas (*). La formación de hueso sigue dos procesos diferentes:
Osificación intermembranosa:
La osificación intramembranosa es la que produce preferentemente huesos planos y, como su nombre indica tiene lugar dentro de una membrana de tejido conjuntivo. En este proceso, algunas de las células mesenquimatosas que forman las membranas de tejido conjuntivo son transformadas en osteoblastos constituyendo un centro de osificación alrededor del cual se va formando hueso. Se pueden distinguir los siguientes pasos:
- Las células mesenquimatosas se agrupan en racimos en el centro de osificación y se transforman primero en células osteoprogenitoras y luego en osteoblastos (*)
- Los osteoblastos segregan matriz ósea y fibrillas de colágeno hasta que quedan rodeados por completo
- Cuando están rodeados por completo por matriz ósea, los osteoblastos se transforman en osteocitos formando lagunas y canalículos entre ellos. Las fibras de colágeno quedan atrapadas en la sustancia fundamental (*)
- El depósito de calcio y de sales minerales endurece la matriz ósea al cabo de unos días
- Mientras se produce la calcificación de la matriz ósea aparecen las trabéculas o espículas óseas que se unen en una estructura en forma de malla dando lugar al hueso esponjoso. La lámina central de hueso esponjoso se recubre por cada uno de sus lados por placas de tejido óseo compacto. Una vez formado, el hueso plano crece de tamaño mediante la adición de más hueso por sus bordes
Osificación osteocondral
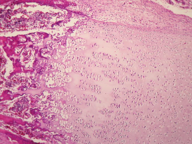
Casi todos los huesos del cuerpo se forman a partir de estructuras cartilaginosas en las que la osificación se extiende desde el centro hasta los márgenes, un proceso denominado crecimiento aposicional. Al mismo tiempo la división celular de los condrocitos seguida de la secreción de sustancias que forman la matriz resulta en un crecimiento intersticial. A partir de la 5 o 6 semanas de la destación el modelo cartilaginoso del hueso largo está completamente formado (*). El modelo cartilaginoso desarrolla un periostio y, en el centro se desarrolla un collar, en el que los osteoblastos (que se han diferenciado a partir de condrocitos) depositan hueso. Poco después de la aparición del collar óseo, el cartílago comienza a calcificarse (*) formándose un centro de osificación primario al penetrar un vaso en el centro de la diáfisis. Simultáneamente a la osificación endocondral que avanza desde la diáfisis hacia las epífisis de forma la cavidad medular, creciendo el hueso en longitud (*)
La diáfisis que una vez fué una masa sólida de cartílago hialino es sustituída por hueso compacto en el centro del cual la cavidad medular se llena de médula ósea roja. Cuando los vasos penetran en las epífisis, de forma un centro de osificación secundario, a partir del cual el proceso de osificación es similar al producido en el centro primario (*). Estos centros de osificación secundarios suelen aparecer en el momento del nacimiento, con la diferencia de que se forma hueso esponjoso y no se desarrolla una cavidad medular. En los extremos de las epífisis queda una porción remanente de cartílago constituyendo el cartílago articular y entre las epífisis y la diáfisis se mantiene la placa epifisaria, también cartilaginosa a partir de la cual el hueso irá creciendo durante el desarrollo del niño hasta desaparecer en la edad adulta (*)
La placa epifisaria constituye pues el lugar a partir del cual el hueso puede crecer en longitud durante la infancia y adolescencia. En ella se distinguen varios tipos de estructuras o zonas que se extienden sin solución de continuidad (*):
- Zona de cartílago en reposo: cerca de la epífisis, consiste en condrocitos dispersos que no proliferan y que sirven de punto de anclaje, uniendo las epífisis a la diáfisis
- Zona de cartílago en proliferación: es una lámina formada por condrocitos, algo mayores que los anteriores, que se encuentran apilados y experimentando una mitosis activa. Como consecuencia de esta, la capa se espesa y toda la placa crece longitudinalmente
- Zona de cartílago hipertrófico o maduro: consiste en condrocitos más grandes todavía dispuestos de forma columnar. La división celular es, igualmente, la responsable del crecimiento de la placa, si bien en este área, algunos de los condrocitos experimentan cambios degenerativos asociados con depósitos de calcio.
- Zona de cartílago calcificado: consiste en un área de tan sólo algunas células de espesor en la que las células han muerto o están próximas a morir como consecuencia de que la matriz alrededor de ellas se ha calcificado. A medida que la calcificación progresa, este área se vuelve frágil siendo invadido por osteoblastos y capilares, quedando una capa calcificada sólida entre la placa epifisaria y la diáfisis.
La región entre la diáfisis y las epífisis en las que la matriz calcificada es remplazada por hueso, se denomina metáfisis (*). El crecimiento de la placa epifisaria está controlado por la hormona del crecimiento producida por la pituitaria y por las hormonas sexuales. Durante el crecimiento, el proceso de calcificación y sustitución por hueso hace que la diáfisis sea cada vez más larga, permaneciendo constante la placa epifisaria.
Si se produce una fractura que afecte a esta placa (fractura epifisaria) la cicatrización de la misma inhibe parcialmente el crecimiento del hueso resultando un hueso algo más corto que el contralateral. Esto se debe a que al ser el cartílago un tejido avascular se consumen proferentemente los recursos de reconstrucción quedando parcialmente marginado el crecimiento óseo. En cambio, si la fractura afecta sólo al hueso, al estar este vascularizado, su cicatrización no afecta a la función de la placa epifisaria.
