Los epitelios de revestimiento se caracterizan por poseer muy poca matriz extracelular y sus células están fuertemente unidas por complejos de unión. A pesar de que mantienen una gran estabilidad en su estructura, los epitelios de revestimiento poseen una alta tasa de renovación celular debido a la proliferación de las células progenitoras que poseen y a una muerte celular continuada.
Epitelios de transición
Están formados por células que cambian de forma cuando el epitelio se contrae o distiende
Epitelios de revestimiento pseudoestratificados
Están formados por células que disponen sus núcleos a distinta altura pero todas las células tienen su membrana citoplasmática en contacto con la lámina basal.
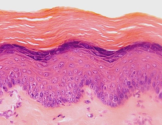
El epitelio estratificado plano queratinizado o epitelio estratificado escamoso queratinizado es típico de la epidermis de vertebrados terrestres, pero también aparece en las papilas filiformes de la lengua, en el paladar duro de la cavidad oral o en la parte superior del esófago. En este corte de piel gruesa de ratón se pueden apreciar claramente los distintos estratos que componen la epidermis.
